skip to Main Content

Are Root Canal Treatments Bad For You?

To answer the question: “Are root canal treatments bad for you?” it’s essential to understand how root canal treatment works, how root canals can become infected after treatment, and how infected root canal treated teeth can harm health and cause long-term side effects.

Explaining Root Canal Treatment

Root canal treatment involves removing the soft centre of the tooth—known as the pulp—by drilling a hole in the tooth, removing the infected pulp, disinfecting the root canals, clearing harmful bacteria, filling the inside of the tooth, and then crowning the tooth. The premise of root canal treatment is to save a tooth that is infected or decayed by removing the infected materials and thus avoid having it extracted.

The Good: Why Root Canal Treatment is Popular

Millions of people undergo root canal therapy every year to prevent the loss of teeth that have “died.” This common procedure is promoted by most dentists and endodontists, who are dental specialists limiting their practices to root canals and related problems. During this procedure, “dead nerve tissue” is removed, and a filling material is placed within a prepared chamber. In most cases, the obvious infection resolves, and the pain is eliminated without complications. Many teeth with root canals can remain as functioning components, especially if appropriately restored. It is not surprising that most dentists and their patients pursue this therapy when indicated. However, there is more than meets the eye regarding this subject.

The Bad: The Anatomy of Our Teeth

The bad news begins with the anatomy of our teeth. The enamel covers the chewing surfaces of our teeth and is generally what we see inside our mouths. The pulp chamber is within the body of the tooth and is generally centered within the body of the tooth and root(s). It is not the only tube within our teeth. There can be one or more “lateral accessory canals” running from the main chamber outward and through the cementum. Additionally, there is a highly specialized network of microscopic tubes (tubules), designed to supply nutrients to the dentin if the tooth is alive. Each of these tubules begins at the surface of the pulp chamber and extends out to the enamel or cementum surface of the dentin.

These tubules do not interconnect and house extensions of living cells that line the pulp chamber and conduct fluids outward from the living pulp. The intricacy of this microscopic anatomy simply cannot be appreciated until we realize that each tooth contains approximately 1.5 million tubules! One front tooth with a single root has an estimated 3 miles of tubules!

The Ugly: What Happens in Root Canals When a Tooth Dies

The ugly part of root canals is what happens within these tubules when a tooth dies. As the living cells necrose (rot) within the central pulp chamber, their extensions also necrose within their tubules. Although root canal therapy should completely obliterate and fill the main pulp chamber, it is impossible to fill the millions of microscopic tubules.

Bacteria from infected teeth or from the dental procedure itself can remain within the tubules, growing and multiplying. Because microbes can change their form and function in response to a changed microenvironment within the tubules, they can go on living despite the altered oxygen and food supply. As they do so, they begin to produce various toxic chemicals that have been shown to be harmful.

Infected Root Canals – Why Root Canals are Bad For You

While root canal treatment may sound good in theory, it is crucial to understand that it also presents serious health risks and can have severe unintended consequences. These health risks and consequences arise when root canals become infected, which occurs when the harmful infection-causing bacteria are not 100% removed during the root canal treatment. When this happens, the bacteria linger and multiply—often driving chronic inflammation, compromising immune function, and ultimately catalyzing other systemic health issues such as autoimmune disease, cancer, heart attacks, stroke and rheumatoid arthritis.

There is much debate between dentists and endodontists as to whether root canals are bad for you, as many believe the probability of root canal infection is low. All, however, agree on one thing: that infected root canals are bad for you as they present a host of severe health risks.

How Does a Root Canal Become Infected? Understanding the Anatomy of the Teeth

An infected root canal can result from incomplete cleaning or sealing of the root canal system during treatment. This can easily occur due to the tooth’s complex anatomy, which has roots that contain main canals and thousands of tiny side canals. These canals house an intricate network of nerves that extend throughout the tooth.

During a root canal treatment, the dentist removes the nerve tissue from the main canals to alleviate pain and infection. However, the side canals are incredibly small and intricate, making it nearly impossible to completely remove all the nerve tissue. Thus, harmful infection-causing bacteria may remain inside the tooth, even after root canal treatment.

Infected Root Canals Explained

Infected root canals often contain necrotic (dead) tissue, inflammatory exudates, and sometimes pulp tissue remnants. These serve as a rich nutrient source for anaerobic bacteria, which feed on these materials, allowing them to multiply, persist, and excrete toxins. This is the mechanism by which root canals become infected.

Compounding this is the fact that anaerobic bacteria often form ‘biofilms,’ which protect the bacteria from the host’s immune response. The root canal is also relatively isolated from the systemic immune response, which further allows bacteria and infection to proliferate. This is the process of chronic infection and inflammation.

Root Canal Treatment Side Effects

The side effects from root canal treatment are attributed to this chronic infection and inflammation. To manage this inflammation, the lymphatic system surrounding an infected root canal will drain toxins from the area. Excessive and prolonged infection (as with infected root canals) sees these toxins continually pushed into the bloodstream, after which they are deposited in various other organs and systems throughout the body. This catalyses a host of health issues and is what is responsible for causing side effects in other parts of the body.

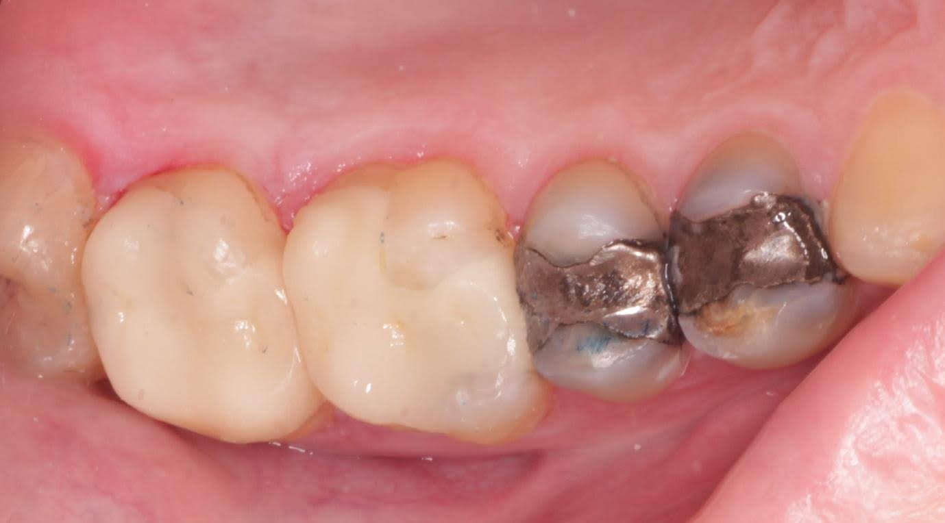
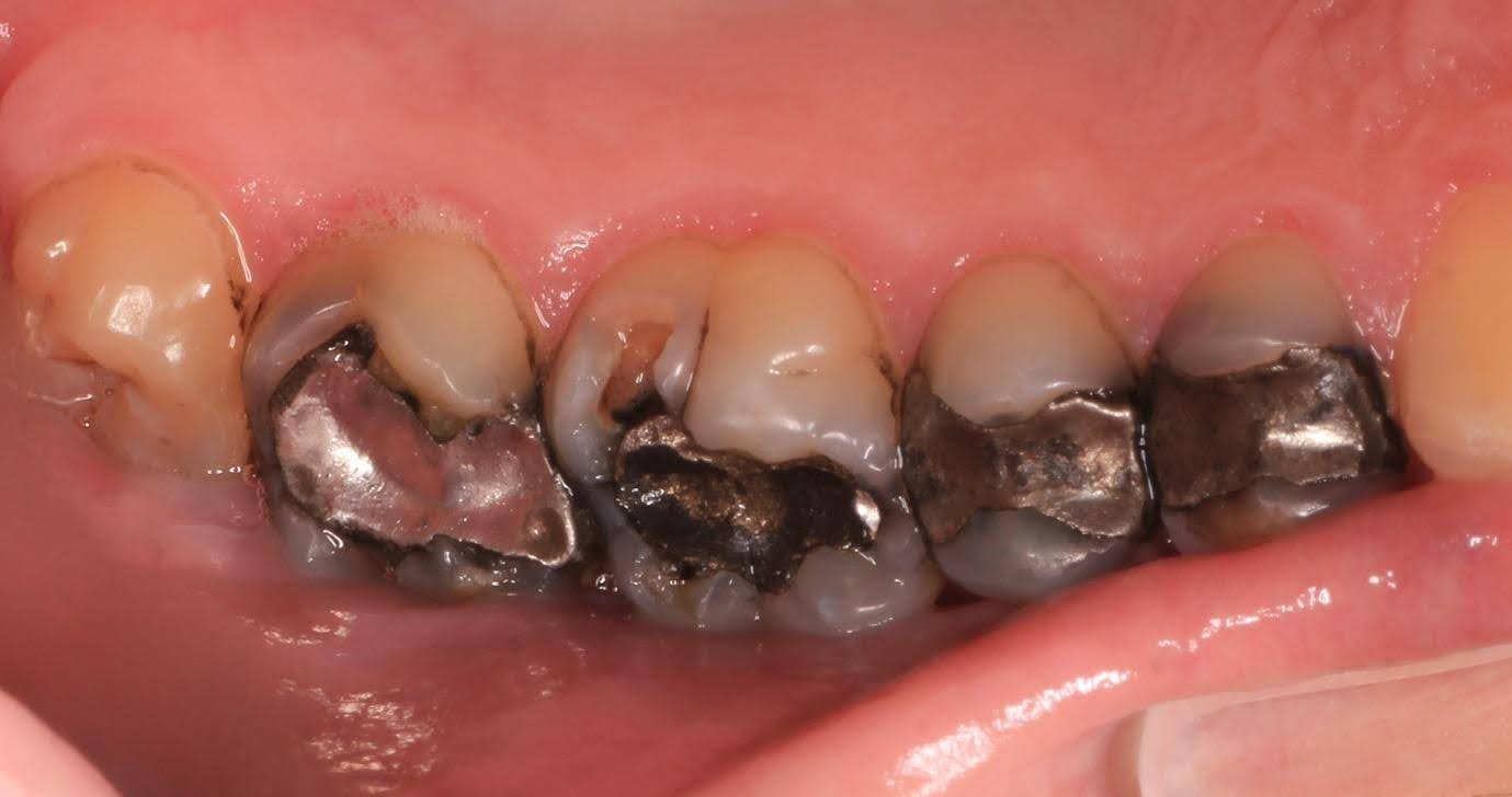
Sequential replacement of failing mercury fillings with porcelain restorations, whilst keeping as much tooth structure intact as possible.

Dr Michael Shang

Dr Michael Shang

Dr Michael Shang

Latest posts by Dr Michael Shang (see all)