skip to Main Content

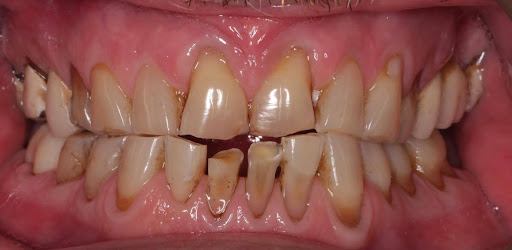
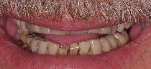
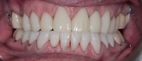
Worn down teeth could be due to many years of teeth grinding and acidic erosion. While these teeth may be heavily damaged, often they still can be fixed using durable restorations to restore them to their original appearance.
Your help in the management of teeth grinding or acidic erosion is paramount to the long-term success of this treatment. We will help you to identify the cause for your teeth becoming worn down, but we need your help to control these factors in the long run. Without such control, no dental treatment can last. If the hardest material in the human body (tooth enamel) has been destroyed over time, how will dental materials be expected to last?