skip to Main Content

These are caps that fit over severely damaged teeth to restore their shape and function, and to replace missing teeth.

The holistic approach considers the materials used in the crown and bridgework. We do not want to use any metal other than high gold alloys in the mouth. We would prefer to use non-metal materials such as zirconia or lithium disilicate where possible.

In our practice composite resins are the most common filling material used. They are non-toxic and electrically neutral. Occasionally they are allergenic for some individuals, but this can be exposed through dental compatibility testing. If one brand of composite is allergic another can be substituted.

Porcelain fillings are also available and preferred for larger fillings, or to close gaps that trap food between the teeth. They are made outside the mouth by experienced technicians before being placed and will result in a much longer lasting restoration than composite fillings.

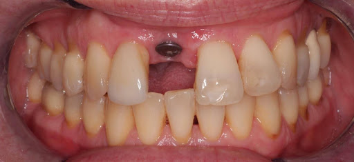
Titanium used for dental implants is non-toxic and usually non-allergenic. If implants are used, it is preferred titanium be the only metal in the mouth. A non-metal crowns will be placed on top of an implant.

Many patients would rather have an implant than a denture resting its weight on the gum. Multiple implants can support a denture if more stability is desired.

Some patients would rather have an implant than remove tooth structure from the adjacent teeth to support a bridge. We can discuss the various factors which would result in the best decision for yourself